JiveX Review

Image Report

JiveX

Bildserie

Patient: Radziewski Stephanie , *1995-11-19, PID: 5600631856
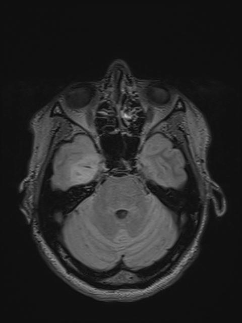
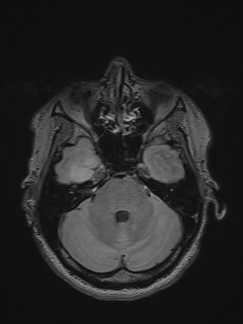
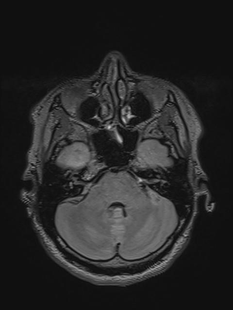
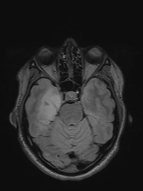
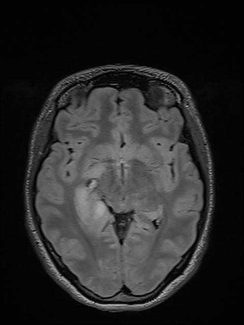
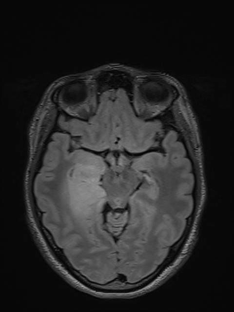
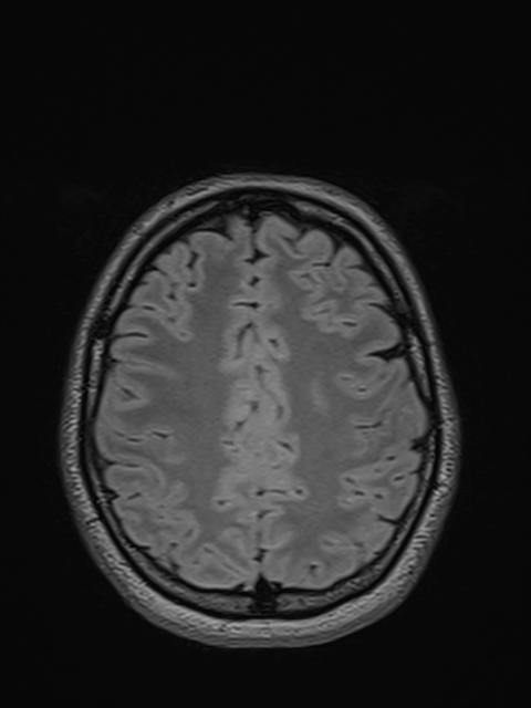
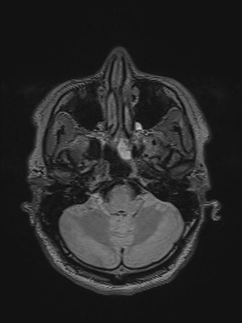
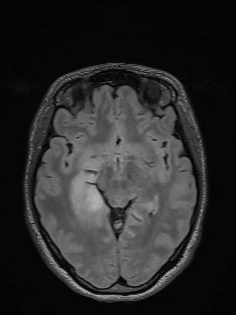
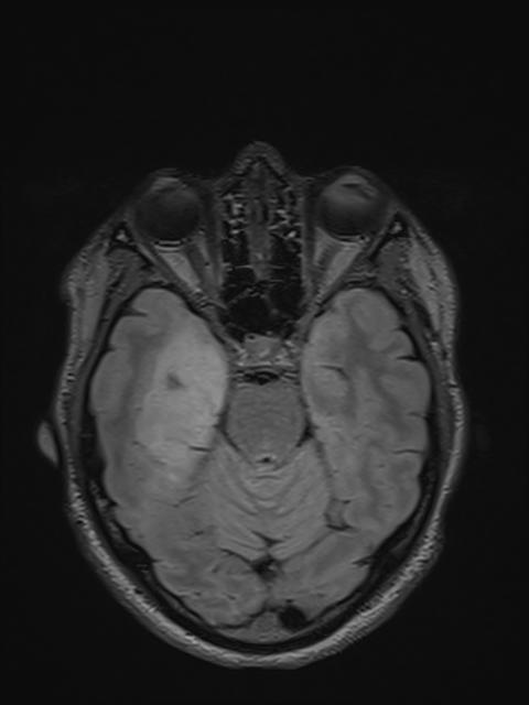
Untersuchung: Schädel Navi
Bildserie: t2_spc_flair_tra_NAVI


Diese Bildserie enthält die folgenden 176 Aufnahmen:

no_keyBild 1 no_keyBild 2 no_keyBild 3 no_keyBild 4 no_keyBild 5 no_keyBild 6 no_keyBild 7 no_keyBild 8 no_keyBild 9 no_keyBild 10 no_keyBild 11 no_keyBild 12 no_keyBild 13 no_keyBild 14 no_keyBild 15 no_keyBild 16 no_keyBild 17 no_keyBild 18 no_keyBild 19 no_keyBild 20 no_keyBild 21 no_keyBild 22 no_keyBild 23 no_keyBild 24 no_keyBild 25 no_keyBild 26 no_keyBild 27 no_keyBild 28 no_keyBild 29 no_keyBild 30 no_keyBild 31 no_keyBild 32 no_keyBild 33 no_keyBild 34 no_keyBild 35 no_keyBild 36 no_keyBild 37 no_keyBild 38 no_keyBild 39 no_keyBild 40 no_keyBild 41 no_keyBild 42 no_keyBild 43 no_keyBild 44 no_keyBild 45 no_keyBild 46 no_keyBild 47 no_keyBild 48 no_keyBild 49 no_keyBild 50 no_keyBild 51 no_keyBild 52 no_keyBild 53 no_keyBild 54 no_keyBild 55 no_keyBild 56 no_keyBild 57 no_keyBild 58 no_keyBild 59 no_keyBild 60 no_keyBild 61 no_keyBild 62 no_keyBild 63 no_keyBild 64 no_keyBild 65 no_keyBild 66 no_keyBild 67 no_keyBild 68 no_keyBild 69 no_keyBild 70 no_keyBild 71 no_keyBild 72 no_keyBild 73 no_keyBild 74 no_keyBild 75 no_keyBild 76 no_keyBild 77 no_keyBild 78 no_keyBild 79 no_keyBild 80 no_keyBild 81 no_keyBild 82 no_keyBild 83 no_keyBild 84 no_keyBild 85 no_keyBild 86 no_keyBild 87 no_keyBild 88 no_keyBild 89 no_keyBild 90 no_keyBild 91 no_keyBild 92 no_keyBild 93 no_keyBild 94 no_keyBild 95 no_keyBild 96 no_keyBild 97 no_keyBild 98 no_keyBild 99 no_keyBild 100 no_keyBild 101 no_keyBild 102 no_keyBild 103 no_keyBild 104 no_keyBild 105 no_keyBild 106 no_keyBild 107 no_keyBild 108 no_keyBild 109 no_keyBild 110 no_keyBild 111 no_keyBild 112 no_keyBild 113 no_keyBild 114 no_keyBild 115 no_keyBild 116 no_keyBild 117 no_keyBild 118 no_keyBild 119 no_keyBild 120 no_keyBild 121 no_keyBild 122 no_keyBild 123 no_keyBild 124 no_keyBild 125 no_keyBild 126 no_keyBild 127 no_keyBild 128 no_keyBild 129 no_keyBild 130 no_keyBild 131 no_keyBild 132 no_keyBild 133 no_keyBild 134 no_keyBild 135 no_keyBild 136 no_keyBild 137 no_keyBild 138 no_keyBild 139 no_keyBild 140 no_keyBild 141 no_keyBild 142 no_keyBild 143 no_keyBild 144 no_keyBild 145 no_keyBild 146 no_keyBild 147 no_keyBild 148 no_keyBild 149 no_keyBild 150 no_keyBild 151 no_keyBild 152 no_keyBild 153 no_keyBild 154 no_keyBild 155 no_keyBild 156 no_keyBild 157 no_keyBild 158 no_keyBild 159 no_keyBild 160 no_keyBild 161 no_keyBild 162 no_keyBild 163 no_keyBild 164 no_keyBild 165 no_keyBild 166 no_keyBild 167 no_keyBild 168 no_keyBild 169 no_keyBild 170 no_keyBild 171 no_keyBild 172 no_keyBild 173 no_keyBild 174 no_keyBild 175 no_keyBild 176

>> Zurück zur Untersuchungsübersicht

Wichtiger Hinweis: Die Bilddaten liegen in den Formaten JPEG und DICOM vor. Zu den JPEG Bildern gelangen Sie indem Sie den entsprechenden Verweisen (Studie / Serie) folgen und in der Bildübersicht direkt auf die Vorschaubilder klicken. Bitte beachten Sie, dass die JPEG-Bilder mit Qualitätsverlust komprimiert wurden und nicht zur Befundung oder Weiterverarbeitung geeignet sind. Zur Anzeige der zugehörigen DICOM-Bilder aus der Bildübersicht klicken Sie bitte auf die entsprechende Bildnummer. DICOM steht für "Digital Imaging and Communication in Medicine" und beschreibt ein spezielles Bildformat für die Medizin. Die Betrachtung von DICOM-Bildern setzt einen installierten DICOM Viewer voraus, da sie in der Regel nicht mit einem "normalen" Grafikprogramm angezeigt werden können.


JiveX

JiveX Image Report. Dieser Bericht wurde mit JiveX Review erstellt. © Copyright VISUS Health IT GmbH, Deutschland. JiveX® ist eine international eingetragene Marke der VISUS Health IT GmbH. Die VISUS Health IT GmbH ist weder für den Inhalt dieses Berichtes noch für etwaige Folgen aus dessen Benutzung verantwortlich! --- www.visus.com