JiveX Review

Image Report

JiveX

Bildserie

Patient: Radziewski Stephanie , *1995-11-19, PID: 5600631856
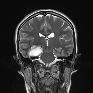
Untersuchung: Schädel^Spektroskopie
Bildserie: t2_tse_cor_p2


Diese Bildserie enthält die folgenden 25 Aufnahmen:

no_keyBild 1 no_keyBild 2 no_keyBild 3 no_keyBild 4 no_keyBild 5 no_keyBild 6 no_keyBild 7 no_keyBild 8 no_keyBild 9 no_keyBild 10 no_keyBild 11 no_keyBild 12 no_keyBild 13 no_keyBild 14 no_keyBild 15 no_keyBild 16 no_keyBild 17 no_keyBild 18 no_keyBild 19 no_keyBild 20 no_keyBild 21 no_keyBild 22 no_keyBild 23 no_keyBild 24 no_keyBild 25

>> Zurück zur Untersuchungsübersicht

Wichtiger Hinweis: Die Bilddaten liegen in den Formaten JPEG und DICOM vor. Zu den JPEG Bildern gelangen Sie indem Sie den entsprechenden Verweisen (Studie / Serie) folgen und in der Bildübersicht direkt auf die Vorschaubilder klicken. Bitte beachten Sie, dass die JPEG-Bilder mit Qualitätsverlust komprimiert wurden und nicht zur Befundung oder Weiterverarbeitung geeignet sind. Zur Anzeige der zugehörigen DICOM-Bilder aus der Bildübersicht klicken Sie bitte auf die entsprechende Bildnummer. DICOM steht für "Digital Imaging and Communication in Medicine" und beschreibt ein spezielles Bildformat für die Medizin. Die Betrachtung von DICOM-Bildern setzt einen installierten DICOM Viewer voraus, da sie in der Regel nicht mit einem "normalen" Grafikprogramm angezeigt werden können.


JiveX

JiveX Image Report. Dieser Bericht wurde mit JiveX Review erstellt. © Copyright VISUS Health IT GmbH, Deutschland. JiveX® ist eine international eingetragene Marke der VISUS Health IT GmbH. Die VISUS Health IT GmbH ist weder für den Inhalt dieses Berichtes noch für etwaige Folgen aus dessen Benutzung verantwortlich! --- www.visus.com