JiveX Review

Image Report

JiveX

Bildserie

Patient: Radziewski Stephanie , *1995-11-19, PID: 5600631856
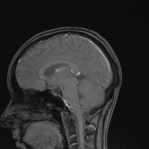
Untersuchung: Schädel Perfusion
Bildserie: localizer


Diese Bildserie enthält die folgenden 5 Aufnahmen:

no_keyBild 1 no_keyBild 2 no_keyBild 3 no_keyBild 4 no_keyBild 5

>> Zurück zur Untersuchungsübersicht

Wichtiger Hinweis: Die Bilddaten liegen in den Formaten JPEG und DICOM vor. Zu den JPEG Bildern gelangen Sie indem Sie den entsprechenden Verweisen (Studie / Serie) folgen und in der Bildübersicht direkt auf die Vorschaubilder klicken. Bitte beachten Sie, dass die JPEG-Bilder mit Qualitätsverlust komprimiert wurden und nicht zur Befundung oder Weiterverarbeitung geeignet sind. Zur Anzeige der zugehörigen DICOM-Bilder aus der Bildübersicht klicken Sie bitte auf die entsprechende Bildnummer. DICOM steht für "Digital Imaging and Communication in Medicine" und beschreibt ein spezielles Bildformat für die Medizin. Die Betrachtung von DICOM-Bildern setzt einen installierten DICOM Viewer voraus, da sie in der Regel nicht mit einem "normalen" Grafikprogramm angezeigt werden können.


JiveX

JiveX Image Report. Dieser Bericht wurde mit JiveX Review erstellt. © Copyright VISUS Health IT GmbH, Deutschland. JiveX® ist eine international eingetragene Marke der VISUS Health IT GmbH. Die VISUS Health IT GmbH ist weder für den Inhalt dieses Berichtes noch für etwaige Folgen aus dessen Benutzung verantwortlich! --- www.visus.com